Wissenschaftliche Studien
Wissenschaftliche Analyse von Luftqualität & Raumklima
Die Qualität der Raumluft und des Raumklimas verändert sich in Innenräumen kontinuierlich – besonders in Umgebungen, in denen Menschen sich über viele Stunden aufhalten.
Das Schlafzimmer stellt dabei einen zentralen Untersuchungsraum dar: Luft, Partikel und atmosphärische Bedingungen wirken hier über längere Zeiträume hinweg und lassen sich unter kontrollierten Bedingungen messen und analysieren.
Auf dieser Seite fassen wir wissenschaftliche Studien und Reviews zusammen, die sich mit Raumluft, Schlafumfeld und menschlicher Wahrnehmung befassen – transparent, nachvollziehbar und ohne medizinische Versprechen. Der Fokus liegt auf der Einordnung von Messdaten und Zusammenhängen, nicht auf Diagnosen oder Therapien.
Was wurde wissenschaftlich untersucht
Untersuchungsfokus
Im Mittelpunkt der Untersuchungen standen typische Umweltfaktoren in Innenräumen, insbesondere in Schlafzimmern.
Analysiert wurde, wie sich Luft und Raumklima über mehrere Stunden, Tage und Wochen hinweg verändern – ohne medizinische Fragestellung und ohne Eingriff in den Schlaf selbst.
Untersuchte Luftparameter
Gemessen wurden zentrale Parameter der Raumluft, die in der wissenschaftlichen Literatur mit Schlafkomfort und Wohlbefinden in Verbindung stehen.
Dazu zählen unter anderem Kohlendioxid (CO₂), luftgetragene Partikel, flüchtige organische Verbindungen (VOCs), Luftfeuchtigkeit sowie die Ionenkonzentration der Luft.
Messumgebung
Die Messungen erfolgten in kontrollierten Umgebungen sowie in realitätsnahen Innenraumsituationen.
Ziel war es, typische Schlafzimmerbedingungen abzubilden – nicht ideale Laborbedingungen oder klinische Settings.
Messzeitraum & Ablauf
Beobachtet wurden zeitliche Veränderungen über mehrere Stunden, Tage und Wochen insbesondere während der Nacht.
Der Fokus lag auf der Dynamik der Raumluft und deren Entwicklung im Verlauf eines normalen Schlafzeitraums.
Einordnung der Ergebnisse
Die Ergebnisse liefern Hinweise darauf, wie sich Innenraumluft unter üblichen Bedingungen verhält. Sie stellen keine medizinischen Aussagen dar und erlauben keine Rückschlüsse auf individuelle Diagnosen oder Therapien.
Messbare Veränderungen der Raumluft
Diese Veränderungen sind messbar, aber nicht automatisch subjektiv spürbar.
CO2 Werte
In geschlossenen Innenräumen steigt der CO₂-Gehalt über Nacht kontinuierlich an.
Luftgetragene Partikel
Feine Partikel können in Innenräumen länger in der Luft verbleiben als im Freien.
Flüchtige organische Verbindungen (VOCs)
Flüchtige organische Verbindungen können sich in Innenräumen anreichern.
Luftfeuchtigkeit
Die Luftfeuchte beeinflusst das Raumgefühl und die wahrgenommene Luftqualität.

Wie lassen sich diese Veränderungen physikalisch erklären?
Luft ist kein leerer Raum. Sie besteht aus Gasen, feinsten Partikeln und flüchtigen Verbindungen, die sich ständig bewegen und gegenseitig beeinflussen.
In ruhigen Innenräumen – insbesondere über Nacht – verändern sich diese Bestandteile auf natürliche Weise. Partikel bleiben länger in der Luft, Gase reichern sich an, und die Struktur der Luft wird dichter und weniger dynamisch.
Physikalische Prozesse können diese Dynamik beeinflussen. Dazu gehören unter anderem elektrische Ladungen, Wechselwirkungen zwischen Partikeln sowie deren natürliche Zusammenlagerung und Absenkung.
Ähnliche Effekte kennt man aus der Natur – etwa in den Bergen oder nach einem Gewitter. Dort wird Luft häufig als besonders klar, frisch und angenehm wahrgenommen, ohne dass Duftstoffe oder chemische Zusätze im Spiel sind.

Wie Menschen Veränderungen der Raumluft wahrnehmen
Menschen beschreiben Raumluft selten in technischen Begriffen. Stattdessen sprechen sie von ihrem Gefühl im Raum – davon, wie sich Luft anfühlt, wie leicht das Atmen fällt und wie ruhig oder klar sie sich dabei empfinden.
In Innenräumen mit veränderter Luftqualität wird häufig von „stickiger“, „schwerer“ oder „verbrauchter“ Luft gesprochen. Umgekehrt wird Luft als angenehm empfunden, wenn sie frisch, klar und unaufdringlich wirkt – ohne wahrnehmbaren Geruch oder Reizung.
Besonders deutlich wird diese Wahrnehmung in ruhigen Phasen, etwa abends oder am Morgen. Viele Menschen berichten, dass sie sich in bestimmten Räumen schneller entspannen, ruhiger fühlen oder erfrischter aufwachen, ohne den Grund dafür konkret benennen zu können.
Diese Eindrücke entstehen nicht durch einen einzelnen Faktor. Sie ergeben sich aus dem Zusammenspiel von Luftbewegung, Frischeempfinden, Raumklima und der subjektiven Atemwahrnehmung.
Wahrgenommene Luftqualität ist damit kein abstrakter Messwert, sondern ein unmittelbares Raumerlebnis.

Raumluft im Schlafumfeld: Warum die Nacht besonders sensibel ist
Während des Schlafs verbringen Menschen mehrere Stunden in einem weitgehend geschlossenen Raum. Fenster bleiben häufig geschlossen, die Luftbewegung ist gering, und äußere Einflüsse wie Lüften oder Aktivität fallen weg.
In dieser Zeit verändert sich die Zusammensetzung der Raumluft besonders gleichmäßig und kontinuierlich. Gase können sich anreichern, Partikel verbleiben länger in der Luft, und das Raumklima stabilisiert sich auf einem nächtlichen Niveau.
Gleichzeitig ist die menschliche Wahrnehmung in der Nacht sensibler. Atmung wird ruhiger, äußere Reize treten in den Hintergrund, und Veränderungen der Umgebung werden weniger bewusst, aber dennoch körperlich wahrgenommen.
Viele Menschen berichten, dass sie morgens deutlich spüren, ob die Raumluft über Nacht als angenehm empfunden wurde – etwa durch ein Gefühl von Frische, Klarheit oder innerer Ruhe beim Aufwachen.
Das Schlafumfeld spielt damit eine zentrale Rolle für das subjektive Erholungserlebnis – unabhängig von Messwerten oder technischen Parametern..
Welche Faktoren die Raumluft im Schlafzimmer beeinflussen
Raumgröße & Nutzung
Die Größe des Raums und die Anzahl der Personen beeinflussen, wie schnell sich Luftbestandteile verändern. In kleineren oder stark genutzten Räumen sind Veränderungen schneller wahrnehmbar.
Luftaustausch & Lüftung
Wie häufig gelüftet wird und ob Luft im Raum zirkulieren kann, bestimmt maßgeblich die Dynamik der Raumluft – insbesondere über Nacht.
Materialien & Einrichtung
Möbel, Textilien, Bodenbeläge und Wandmaterialien können flüchtige Stoffe aufnehmen oder abgeben und beeinflussen so das Raumklima über längere Zeiträume.
Temperatur & Luftfeuchtigkeit
Temperatur und Feuchtigkeit wirken sich auf das Raumgefühl aus und beeinflussen, wie Luft als angenehm, trocken oder schwer wahrgenommen wird.
Warum Raumluftqualität im Schlafzimmer eine besondere Rolle spielt
Das Schlafzimmer ist einer der Räume, in dem Menschen die längste zusammenhängende Zeit verbringen – meist ohne bewusste Unterbrechung und mit geringer äußerer Aktivität.
Über mehrere Stunden hinweg wirken dort physikalische Veränderungen der Raumluft kontinuierlich und gleichmäßig. Anders als tagsüber werden diese Veränderungen nicht aktiv beeinflusst, sondern entwickeln sich im Hintergrund.
Gleichzeitig ist der Mensch in dieser Phase besonders empfänglich für sein Umfeld. Wahrnehmung, Atmung und Ruhebedürfnis verändern sich, während äußere Reize reduziert sind.
Raumluftqualität im Schlafzimmer ist daher kein abstraktes Thema, sondern Teil des alltäglichen Raumerlebnisses – insbesondere in der Nacht und beim Aufwachen am Morgen.
Entscheidend ist nicht ein einzelner Messwert, sondern das Zusammenspiel aus Raum, Zeit und menschlicher Wahrnehmung.
Wie Raumluft im Schlafzimmer beobachtet und gemessen werden kann
Messungen liefern Momentaufnahmen und Zeitverläufe. Sie ersetzen keine medizinische Bewertung und dienen ausschließlich der Beschreibung von Raum- und Umweltbedingungen.
Kohlendioxid (CO₂)
Der CO₂-Gehalt gibt Hinweise darauf, wie stark Luft in einem Raum genutzt wird und wie sich Gase über Zeit anreichern. Veränderungen lassen sich kontinuierlich erfassen und vergleichen.
Luftgetragene Partikel
Feine Partikel in der Luft können über geeignete Messverfahren sichtbar gemacht werden. Sie zeigen, wie lange Bestandteile in ruhigen Innenräumen in der Luft verbleiben.
Flüchtige organische Verbindungen (VOCs)
VOCs entstehen unter anderem durch Materialien, Möbel oder alltägliche Aktivitäten. Ihre Konzentration lässt sich messen und über Zeitverläufe beobachten.
Temperatur & Luftfeuchtigkeit
Temperatur und Feuchtigkeit bilden den klimatischen Rahmen eines Raums. Sie beeinflussen das Raumgefühl und lassen sich dauerhaft und stabil erfassen.
Typische Veränderungen der Raumluft über Nacht
Erst im zeitlichen Verlauf zeigen sich typische Muster und Veränderungen der Raumluft – insbesondere über Nacht.
Beobachtungen aus zeitlichen Verläufen in Innenräumen
Während der Nacht verändert sich die Raumluft nicht sprunghaft, sondern schrittweise. Diese Entwicklungen folgen typischen zeitlichen Mustern, die in vielen Innenräumen beobachtet werden können.
- Am Abend, nach dem Zubettgehen, beginnt sich die Luftzusammensetzung langsam zu verändern. Aktivität im Raum nimmt ab, Fenster bleiben häufig geschlossen, und der Luftaustausch reduziert sich.
- In der Nacht verlaufen diese Veränderungen gleichmäßig und kontinuierlich. Gase können sich anreichern, Partikel verbleiben länger in der Luft, und das Raumklima stabilisiert sich auf einem nächtlichen Niveau.
- Am Morgen zeigt sich häufig ein deutlich anderes Raumgefühl als am Abend zuvor. Luft wird als verbrauchter oder weniger frisch wahrgenommen, bevor durch Lüften oder Bewegung wieder Dynamik entsteht.
Diese zeitlichen Verläufe sind Teil normaler Innenraumdynamik und lassen sich in unterschiedlichen Räumen und Situationen beobachten.
Diese nächtlichen Veränderungen erklären, warum das Schlafumfeld am Morgen oft anders wahrgenommen wird als am Abend.
Morgenfrische und subjektives Erleben
Diese morgendlichen Eindrücke verdeutlichen, wie stark das Schlafumfeld das persönliche Wohlbefinden prägt.
Der Moment des Aufwachens ist oft der erste bewusste Kontakt mit dem Raum nach mehreren Stunden ununterbrochener Ruhe. In dieser Phase nehmen Menschen ihre Umgebung besonders sensibel wahr.
Viele beschreiben am Morgen ein unmittelbares Raumgefühl – etwa ob die Luft als frisch, klar und angenehm empfunden wird oder eher als schwer, verbraucht oder stickig.
Diese Wahrnehmung entsteht nicht isoliert, sondern ist das Ergebnis der nächtlichen Entwicklung des Raumklimas. Veränderungen, die sich über Stunden hinweg aufgebaut haben, werden nun erstmals bewusst registriert.
Entsprechend berichten Menschen von sehr unterschiedlichen morgendlichen Eindrücken: von einem Gefühl innerer Klarheit und Leichtigkeit bis hin zu Trägheit oder einem schleppenden Start in den Tag.
Morgenfrische ist damit kein einzelner Messwert, sondern ein subjektives Zusammenspiel aus Raum, Zeit und persönlicher Wahrnehmung.
Schlafkomfort entsteht aus dem Zusammenspiel mehrerer Faktoren
Schlafkomfort ist daher kein isolierter Zustand, sondern das Ergebnis eines komplexen Zusammenspiels.
Raum & Umgebung
Raumgröße, Einrichtung und Materialien bilden den physikalischen Rahmen, in dem sich Luft und Klima über Nacht entwickeln.
Zeit & Verlauf
Veränderungen der Raumluft entstehen schrittweise über mehrere Stunden hinweg und wirken nicht punktuell, sondern kontinuierlich.
Luft & Klima
Zusammensetzung der Luft, Feuchtigkeit und Temperatur beeinflussen das Raumgefühl und die subjektive Wahrnehmung während der Nacht.
Menschliche Wahrnehmung
Schlafkomfort ist immer auch subjektiv. Wie Luft empfunden wird, hängt von Sensibilität, Gewohnheit und individuellem Erleben ab.
Ein Zusammenspiel, das im Alltag spürbar wird
Raumluftqualität im Schlafzimmer ist kein isolierter Faktor. Sie entsteht aus dem Zusammenspiel von Raum, Zeit, Luft und menschlicher Wahrnehmung.
Über Nacht entwickeln sich Veränderungen schrittweise und gleichmäßig. Sie werden selten bewusst verfolgt, prägen aber das Raumgefühl, die Ruhephase und den Eindruck beim Aufwachen.
Wie angenehm oder belastend ein Schlafumfeld empfunden wird, hängt daher nicht von einem einzelnen Messwert ab, sondern von der Gesamtdynamik des Raums über mehrere Stunden hinweg.
Die beschriebenen Beobachtungen zeigen, warum Raumluft im Schlafzimmer eine Rolle spielt – nicht als abstraktes Thema, sondern als Teil des täglichen Wohn- und Schlafkomforts.
Im Folgenden finden sich Antworten auf häufige Fragen rund um Raumluftqualität im Schlafzimmer.
Häufige Fragen zur Raumluftqualität im Schlafzimmer
Warum verändert sich die Raumluft im Schlafzimmer über Nacht?
Während der Nacht bleibt die Raumluft meist über mehrere Stunden weitgehend unbeeinflusst. Geringe Luftbewegung, geschlossene Fenster und kontinuierliche Nutzung führen dazu, dass sich Luftbestandteile schrittweise verändern.
Ist Raumluftqualität messbar?
Ja. Parameter wie CO₂, Partikel, VOCs, Temperatur und Luftfeuchtigkeit lassen sich mit geeigneten Messverfahren erfassen und über Zeitverläufe beobachten.
Warum wird Luft morgens oft als „verbrauchter“ wahrgenommen?
Diese Wahrnehmung entsteht durch die nächtliche Entwicklung der Raumluft. Veränderungen, die sich über Stunden aufgebaut haben, werden beim Aufwachen erstmals bewusst registriert.
Gibt es ideale Werte für die Raumluft im Schlafzimmer?
Raumluft wird in der Wissenschaft stets im Kontext betrachtet. Wahrnehmung und Komfort hängen von mehreren Faktoren ab und lassen sich nicht auf einen einzelnen Idealwert reduzieren.
Unterscheidet sich Raumluft im Schlafzimmer von anderen Räumen?
Ja. Schlafzimmer zeichnen sich durch längere Nutzungsdauer, geringere Aktivität und eine besondere zeitliche Dynamik aus, insbesondere während der Nacht.
Hat Raumluftqualität Einfluss auf das subjektive Wohlbefinden?
Viele Menschen berichten, dass sie Unterschiede im Raumgefühl wahrnehmen. Diese Eindrücke sind subjektiv und entstehen aus dem Zusammenspiel von Raumklima, Umgebung und persönlicher Wahrnehmung.
Ersetzen solche Informationen medizinische Beratung?
Nein. Die hier dargestellten Inhalte dienen der sachlichen Einordnung von Raumluftbedingungen und ersetzen keine ärztliche Diagnose oder Behandlung.
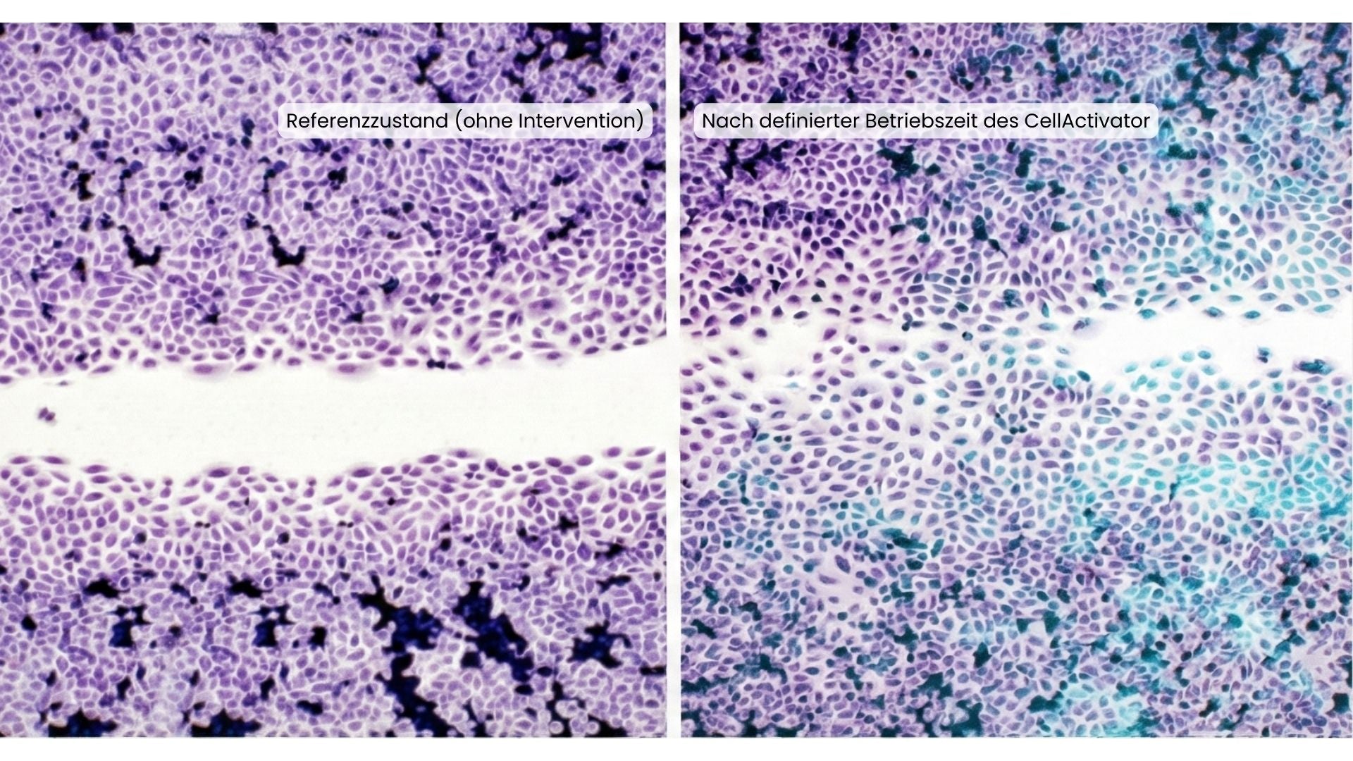
Laboruntersuchungen zum CellActivator
Wissenschaftliche Quellen & Einordnung
Die Inhalte dieser Seite basieren auf unabhängiger wissenschaftlicher Literatur, Laboruntersuchungen und anerkannten Standards zur Raumluftqualität.
Wissenschaftliche Grundlagen zur Raumluftqualität in Innenräumen
Die dargestellten Aussagen zur Raumluftqualität stützen sich auf Forschungsergebnisse aus der Innenraumluft-, Umwelt- und Gebäudewissenschaft.
Zahlreiche Studien beschreiben den Einfluss von Kohlendioxid (CO₂), luftgetragenen Partikeln, flüchtigen organischen Verbindungen (VOCs), Temperatur und Luftfeuchtigkeit auf das Raumgefühl und die wahrgenommene Luftqualität in Innenräumen.
Berücksichtigt wurden unter anderem Übersichtsarbeiten, Feldstudien sowie Empfehlungen internationaler Fachgremien zur Bewertung von Innenraumluft.
[1] Strøm-Tejsen et al. – The effects of bedroom air quality on sleep and next-day performance (2016)
https://onlinelibrary.wiley.com/doi/10.1111/ina.12254
[2] Associations of bedroom air temperature and CO₂ with sleep quality – Feldmessung mit Aktigraphie (2021)
https://pubmed.ncbi.nlm.nih.gov/32979003/
[3] ASHRAE Journal – Using Indoor Air Quality Tactics To Sleep Better At Night (2017)
https://www.ashrae.org/news/ashraejournal/using-indoor-air-quality-tactics-to-sleep-better-at-night-perform-well-the-next-day
[4] VOC exposure and sleep problems – Meta-Analyse, PMC (2024)
https://pmc.ncbi.nlm.nih.gov/articles/PMC10976002/
[5] PM2.5 and sleep quality – Langzeitstudie, PMC (2019)
https://pmc.ncbi.nlm.nih.gov/articles/PMC6853164/
Physikalisch-chemische Mechanismen der Raumluft
Die physikalische Einordnung von Raumluftveränderungen basiert auf etablierten Modellen zur Bewegung, Wechselwirkung und Ablagerung luftgetragener Bestandteile.
Dazu zählen unter anderem Prozesse wie Partikelaggregation, elektrostatische Wechselwirkungen, Sedimentation sowie Veränderungen der Ionenkonzentration in ruhigen Innenräumen.
Diese Mechanismen werden in der wissenschaftlichen Literatur seit Jahrzehnten beschrieben und bilden die Grundlage für das Verständnis von Luftdynamik in Innenräumen – unabhängig von medizinischen Fragestellungen.
[1] Liu et al. – NIAP vs. HEPA: Partikelgröße, Atemwegsexposition und Sedimentationsmechanismen – Indoor Air (2021)
https://onlinelibrary.wiley.com/doi/10.1111/ina.12728
[2] Generation of Negative Air Ions by Piezoelectric Cold Plasma – MDPI (2021)
https://www.mdpi.com/2571-6182/4/3/29/pdf
[3] Particle aggregation induced by negative air ions – ACS Omega (2022)
https://pubs.acs.org/doi/10.1021/acsomega.2c00290
[4] Electrostatic deposition of inhaled particles – Nature Scientific Reports (2023)
https://www.nature.com/articles/s41598-023-49946-w
[5] Negative air ionization in enclosed spaces – Keimreduktion 90 % in 60 min – Dr. Schmelz GmbH (2021)
(Originaldokument auf dieser Seite verfügbar)
Schlafumgebung, Wahrnehmung & subjektives Erleben
Zur Einordnung der Schlafumgebung und der morgendlichen Wahrnehmung wurden Erkenntnisse aus der Schlaf-, Umwelt- und Wahrnehmungsforschung herangezogen.
Mehrere Studien zeigen, dass Menschen Raumluft nicht primär über Messwerte, sondern über sensorische Eindrücke wie Frische, Klarheit, Schwere oder Leichtigkeit wahrnehmen.
Diese Wahrnehmungen entstehen aus dem Zusammenspiel von Raumklima, nächtlicher Raumnutzung und individueller Sensibilität und werden in der Literatur als wichtiger Bestandteil des Schlafkomforts beschrieben.
[1] Strøm-Tejsen et al. – Window opening, CO₂ and perceived air quality during sleep (2016)
https://pubmed.ncbi.nlm.nih.gov/26452168/
[2] Basler Feldstudie – CO₂, Schlafeffizienz und morgendliche Kognition – PMC (2023)
https://pmc.ncbi.nlm.nih.gov/articles/PMC10293115/
[3] Molinier et al. – Bedroom VOC Concentrations and Emissions during Sleep – ACS EST (2024)
https://pubs.acs.org/doi/10.1021/acs.est.3c10841
[4] Lamport et al. – Can air purification improve sleep quality? – Randomised Controlled Trial (2022)
https://pmc.ncbi.nlm.nih.gov/articles/PMC9326793/
[5] Negative ions and sleep quality – Review, PMC (2013)
https://pmc.ncbi.nlm.nih.gov/articles/PMC3848581/
Unabhängige Laboruntersuchungen & weiterführende Studien
Ergänzend zur allgemeinen Forschung wurden unabhängige Laboruntersuchungen berücksichtigt, die sich mit spezifischen Fragestellungen der Raumluft und zellbasierten Beobachtungen befassen.
Dazu zählen unter anderem Laborprüfungen der:
[1] Dartsch Scientific GmbH – Immunzellaktivität +19,9 %, Regeneration +21,9 % (Originaldokument ↓)
[2] Dr. Schmelz GmbH – Keimzahlreduktion bis 90 % in 60 min (Originaldokument ↓)
[3] Schöpfungskraft Institut – Verbesserung Blutzirkulation & Sauerstoffversorgung (Originaldokument ↓)
Diese Untersuchungen werden jeweils kontextualisiert dargestellt und dienen der wissenschaftlichen Einordnung. Sie stellen keine medizinischen Aussagen dar und ersetzen keine ärztliche Diagnose oder Behandlung.










